MacでBlu-rayやMPEG2-TSをみるなら、Mac Blu-Ray Player (当サイト特別割引)がおすすめ! 値下げしたアプリなら、特集ページがおすすめ!
![]()
|
| ||||||||||||||||||||||
画像イメージ
詳細
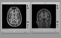
iSurf BrainView で重ねる生産 MRI 自動セグメンテーションに基づく mri 脳画像の教師です。重ねる生体イメージングのための調査官は Athinoula A. な martinos 医学センターが開発したソフトウェア パッケージです。このアプリでは、領域の自動抽出を使用して T1 MRI 画像に基づくニューロ イメージングの自動アトラスを生成します。脳 MRI を教えるため、神経解剖学を学ぶための素晴らしいツールです。
このNetfilterの他アプリ




MacAppStoreのカテゴリ > 


